İmplant Tutmazsa Ne Olur? Başarısız İmplant Belirtileri

İmplantın tutmaması, implantın çene kemiği ile sağlıklı şekilde kaynaşamaması anlamına gelir.
Sinüs Lifting Nedir? İmplant Öncesi Neden Gerekli Olur?

Üst çene arka bölgede yeterli kemik bulunmadığı durumlarda “sinüs lifting” adı verilen özel bir işlem uygulanır.
Kemik Grefti (Kemik Tozu) Nedir? Kimlere Uygulanır?

Kemik grefti, eksik kemik dokusunu tamamlayarak sağlam bir temel oluşturur.
Ağız İçinde Geçmeyen Yaralar Ne Zaman Tehlikelidir?

Özellikle 2 haftadan uzun süren yaralar, altta yatan ciddi bir sorunun işareti olabilir.
Diş Teli Çıktıktan Sonra Dişler Tekrar Bozulur mu? (Retainer Rehberi)

Dişler, tedavi sonrasında da hareket etme eğiliminde olabilir. Bu noktada devreye “retainer” yani pekiştirme apareyleri girer.
Diş Eti Kanaması Neden Olur? Evde Ne Yapılmalı?

Dişlerin doğru teknikle fırçalanması ve diş ipi kullanımı alışkanlık haline getirilmelidir.
Zirkonyum mu Emax mi? Hangisi Daha İyi?

Zirkonyum ve Emax kaplamalardan hangisinin daha iyi olduğu sorusunun cevabı, kişisel ihtiyaçlara göre değişir.
Kanal Tedavisi Sonrası Ağrı Normal mi? Kaç Gün Sürer?

Kanal tedavisi sonrası hafif ağrı ve hassasiyet genellikle normaldir ve birkaç gün içinde azalır. Bu durum, vücudun iyileşme sürecinin doğal bir parçasıdır.
İmplant Sonrası Hangi Yiyecekler Tüketilmeli? Detaylı Beslenme Rehberi

Diş implantı tedavisi sonrası iyileşme sürecinde beslenme, tedavinin başarısını doğrudan etkileyen en önemli faktörlerden biridir.
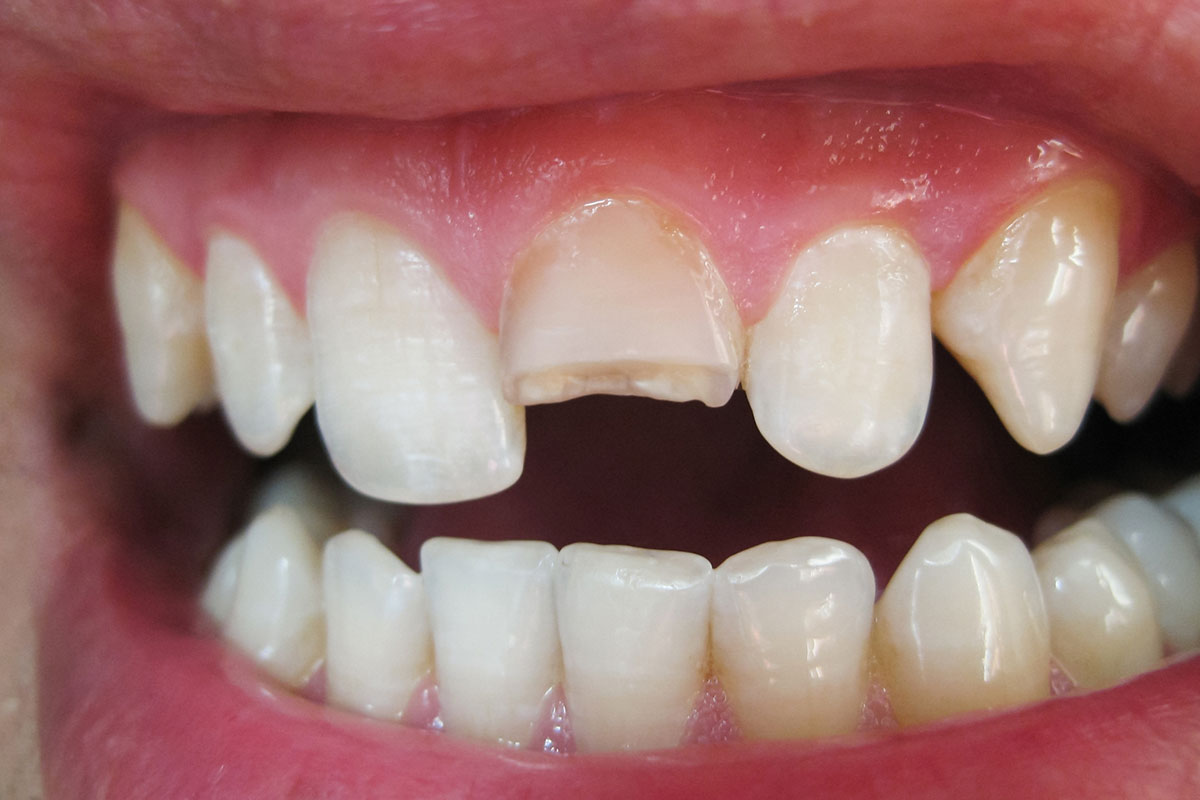
Kırılan Diş İçin İlk Yardım: Dişinizi Nasıl Kurtarabilirsiniz?

En ideal yöntem, diş parçasını süt içinde muhafaza etmektir. Süt bulunamazsa temiz su ya da tükürük de geçici olarak kullanılabilir.